곡반정동치과 남은 치아들이 별로 없어 전체 임플란트 하고 싶어요

치아가 많이 상실된 상태에서는
음식 섭취의 불편함뿐 아니라
발음, 턱관절 기능, 얼굴 인상 변화까지
함께 나타날 수 있습니다.
특히 남아 있는 치아의 개수가 적을수록
치료 방법 선택이 더욱 중요해지며,
무조건 발치를 진행하기보다
살릴 수 있는 치아는 보존하면서
전체적인 기능을 회복하는 방향이 바람직합니다.
최근에는 정밀한 사전 분석을 바탕으로
식립 위치와 각도를 미리 계획하는
네비게이션 임플란트를 통해 불필요한 손상을 줄이고,
기존 치아를 보호하면서도 안정적인
전체 임플란트 치료가 가능해졌습니다.
이러한 방법은 치료 정확도를 높이고
회복 부담을 줄이는 데에도 도움이 됩니다.
오늘은 곡반정동치과 연세세브란스수원에서
네비게이션임플란트를 활용한
임플란트 식립을 진행한 사례를
소개해 드리도록 하겠습니다.


25.07.01
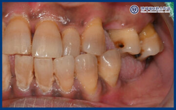
<임플란트 상담 위해 내원>
위 환자분께서는 남은 치아들이 별로 없어
전체 임플란트를 하고 싶은데
본원에서 안 아프고 빠르게 잘 끝내준다는
추천을 받고 내원해 주셨습니다.

25.07.01
<엑스레이를 통한 정밀한 확인>
확인해 보니,
오른쪽 어금니는 거의 상실되어 있었으며
왼쪽도 아래 치아가 없어
위 치아가 정출되어 있었습니다.
그래서 전체적으로 식사하기도 불편하고
기능이 저하된 상태였으며,
남아 있는 치아에도 과도한 부담이
계속 전달되고 있는 상황이었습니다.
하지만 아래 앞니 같은 경우에는
덜 흔들리는 편이라 치아를 살려 쓰기로 하였으며,
이외의 치아는 전체 발치 후
임플란트를 진행하기로 하였습니다.
환자분께서는 턱관절이 안 좋아
입을 오래 벌리고 있기 어려워
위, 아래 나눠서 2번의 수술을
진행하기로 하였습니다.

25.07.02
<스케일링으로 치아 관리>
치아를 오래 사용하기 위해서는
관리가 제일 중요한데요.
하지만 현재는 전반적인 구강 위생 관리가
충분히 이루어지지 않은 상태였고,
특히 아래 앞니 부위에는
치석이 많이 잔존해 있었습니다.
이에 먼저 기본적인 잇몸 상태를 개선하기 위해
스케일링을 진행하여
치석과 염증 요인을 제거하고,
이후 임플란트 치료가
안정적으로 진행될 수 있도록
구강 환경을 정리하는 과정을 선행했습니다.


25.07.02
<네비게이션 가이드 제작>
그리고 수술 전 CT촬영 및
네비게이션 가이드를 사용하여
짧은 시간 내로 수술을
마무리 지을 수 있도록 하였습니다.
가이드를 사용하여 수술을 하면
절개 없이 진행할 수 있어
출혈과 통증에 대한 부담을 줄일 수 있고,
수술 시간 또한 비교적 짧게
마무리할 수 있다는 장점이 있습니다.
또한 사전에 계획된 위치와 각도에 맞춰
임플란트를 식립할 수 있기 때문에
보다 안정적이고 예측 가능한
치료 결과를 기대할 수 있습니다.

25.07.28
<위쪽 임플란트 식립>
이후 가이드를 활용하여
위쪽 먼저 임플란트
식립을 진행하였습니다.

25.08.11
<잇몸 회복 양상 빠름>
약 2주 후 내원하셔서
회복 양상을 확인해 보았는데요.
네비게이션 가이드로 수술해서
발치 후 임플란트를 식립 했음에도 불구하고
2주 만에 잇몸이 거의 나은 양상을 볼 수 있었습니다.


25.08.18
<아래 임플란트 식립>
이후 아래쪽도 가이드를 사용하여
임플란트를 식립하였습니다.
이렇게 위, 아래 계획된
임플란트 식립이 완료되었답니다.


25.09.18
<임플란트 식립 한 달 체크>
임플란트는 식립 후
한 달 동안의 초기 고정이 중요하기 때문에
한 달 뒤 내원하셔서 식립 부위의
안정 상태와 잇몸 회복 정도를
확인하는 과정을 진행했습니다.
전반적으로 안정적인
고정 상태가 확인되었으며,
이후 보철 치료를 이어갈 수 있는 기반이
잘 형성된 모습을 보였습니다.

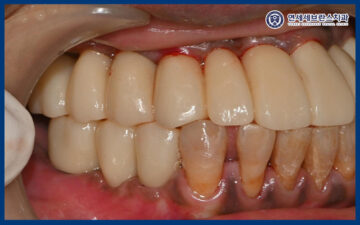
25.12.15
<보철 중간 단계>
그리고 치유 기간이 지난 후
임플란트가 뼈에 잘 결합되어
보철 작업을 시작하였는데요.
오차를 줄이고 편한 보철물을 위해
보철과 전문의 원장님과
인상채득을 진행하는 과정을 거쳤습니다.

25.12.29
<보철 1차 세팅>
이렇게 제작된 보철을 맞춰보며
수정할 부분이 있는지 확인해 보고,
교합의 높이나 좌우 균형,
발음 시 불편감 여부 등을 함께
점검하는 과정을 거쳤습니다.


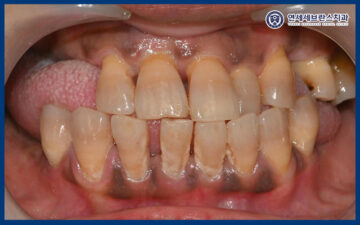
26.01.12
이후 최종적으로 전체적인 교합 상태와
보철물의 안정성을 다시 한 번 확인한 뒤
치료를 마무리하였습니다.
보철 장착 이후에는 임플란트를
오래 유지하기 위해
정기적인 검진과 꾸준한 구강 관리가
중요하기 때문에,
올바른 관리 방법에 대해서도
함께 안내해 드렸습니다.

26.01.12
치료 마무리 후 파노라마 사진을
찍어보았을 때도
임플란트가 계획한 위치에
안정적으로 식립된 모습을 확인할 수 있었으며,
전체적인 배열과 교합 균형 역시
양호한 상태로 유지되고 있었습니다.
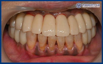
환자분께서는 치아가 하나도 없었는데
어금니가 다 생겨서 만족해 주셨습니다.
수술도 그렇게 어렵지 않게
쉽게 쉽게 끝난 느낌이라
주변에도 추천 많이 해준다고 하셨습니다 (^^)

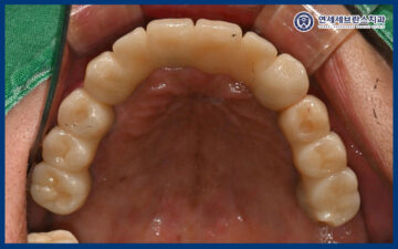
26.04.16
3개월 뒤 정기검진을 위해 내원해 주셨는데,
설명해 드린 관리 방법을
잘 실천해 주신 덕분에
임플란트 주변 잇몸 상태도
안정적으로 유지되고 있었으며
전반적인 구강 위생 상태도
양호하게 확인되었습니다.
또한 임플란트의 흔들림이나
염증 소견 없이 기능적으로도
편안하게 사용하고 계신 모습을
확인할 수 있었고,
교합 상태 역시 처음 치료 계획대로
잘 유지되고 있었습니다.
앞으로도 현재처럼 정기적인 검진과
꾸준한 관리가 이어진다면
장기적으로도 안정적인 사용이
가능할 것으로 기대됩니다.

곡반정동치과 연세세브란스치과수원은
3명의 전문의가 협진 시스템을 통해
환자분의 구강 상태를 다각도로 분석하고,
보다 정밀하고 안정적인
치료 계획을 수립하고 있습니다.
각 분야 의료진이 함께 치료 방향을 검토하여
기능적 회복과 장기적인 유지까지 고려한
맞춤 진료를 진행하고 있으며,
치료 전 상담부터 수술 이후 관리까지
체계적인 과정을 통해 환자분의 부담을 줄이는 데
도움을 드리고 있습니다.
또한 살릴 수 있는 치아는
무리하게 발치를 진행하기보다
보존하는 방향으로 치료 계획을 세워,
자연 치아의 기능을 오래 유지할 수 있도록
도움을 드리고 있습니다.
위 사례와 같이 치아의 상실로 인해,
기능을 회복하고 싶다면
곡반정동치과 연세세브란스치과수원에서
정밀한 진단을 받아보시길 권장드립니다.
감사합니다😊
*모든 증례 사진은 의료법 제23조, 제 56조에 의거하여,
당사자의 동의하에 게시하였습니다.
*치료 사진은 모두 본원에서 치료한 환자분의 사진입니다.
*치료 사진은 모두 동일인의 사진이며,
동일조건에서 촬영하였습니다.
*개인의 차이에 따라 시술 및 수술 후 부작용이 발생할 수 있으며,
의료진과 충분한 상담을 받으시기 바랍니다.