곡반정동치과 변색이 있는 앞니에 뾰루지가 생겼어요

앞니는 말하거나 웃을 때
가장 먼저 보이는 치아이기 때문에
작은 변화에도 쉽게 신경이 쓰이게 됩니다.
특히 과거에 신경치료를 받았던 치아는
시간이 지나면서 색이 점점 어두워지거나
뿌리 끝 염증이 다시 생기는 경우가 있어
정기적인 관찰이 중요합니다.
초기에는 통증이 거의 없어
단순한 착색 정도로 생각하고 지나치기 쉽지만,
잇몸에 작은 뾰루지처럼 보이는 증상이 나타난다면
치아 뿌리 주변에 염증이 진행되고 있다는
신호일 수 있어 정밀한 진단과
적절한 치료가 필요합니다.
오늘은 곡반정동치과 연세세브란스수원에서
재신경치료 및 실활치 미백을 진행한 사례를
소개해 드리도록 하겠습니다.

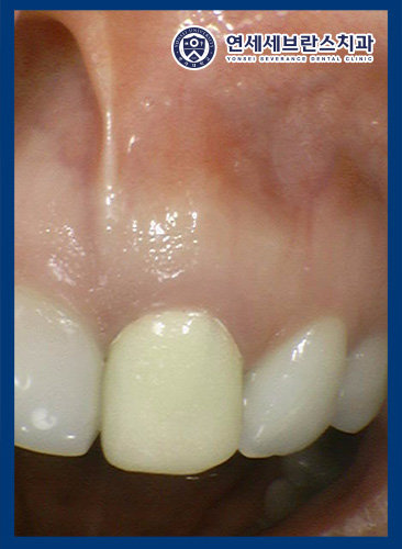
25.10.16
<초진 시 보이는 변색>
위 환자분께서는 오래전
앞니에 신경치료를 받았었는데
해당 앞니에 변색이 있고 뿌리 끝 염증이 있어
정기검진이 필요하다는 소견을 들으셨었습니다.
첫 내원 당시에는 치아 색상이
심미적으로 아쉬운 상태였지만
뿌리 끝 염증으로 인한 통증이나
일상생활의 불편감은 크지 않아
우선 경과를 지켜보는 상황이었는데요.

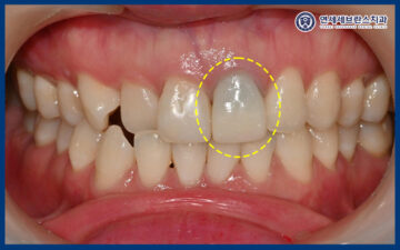
25.12.22
<2개월 뒤 생겨난 잇몸 뾰루지>
두 달 뒤 잇몸 뾰루지가 생겼는데
본원에서 상주하는 보존과 전문의에게 받는다면
치아를 뽑지 않고 해결 가능하다는 이야기를 듣고
곡반정동치과 연세세브란스치과수원에
내원해 주셨습니다.
뿌리 끝 염증이 뿌리 끝에 생긴 게 아닌
뿌리 옆에 생긴 특이한 형태로
치아 크랙 가능성을 염두에 두고
재신경치료를 진행해 보기로 하였습니다.

25.12.22
<보이지 않던 포스트 발견>
이렇게 당일 응급으로 재신경치료를 시작했는데,
명확히 보이지 않던 포스트를 발견하여
다음번 크라운 제거 및 포스트 제거를
시도해 보기로 하였습니다.

26.01.05 / 26.01.22
<신경치료 진행 및 마무리>
기존에 충전되어 있던 재료와 포스트 제거 후
신경관 내부의 감염 원인을 줄이기 위해
세척과 소독 과정을 꼼꼼하게 진행하였습니다.
보이지 않는 미세한 염증까지 정리하는 것이
재신경치료의 중요한 단계이기 때문에
여러 차례에 걸쳐 신경관 내부를 정리한 뒤
약제를 적용하여 염증 반응이
충분히 가라앉을 수 있도록
경과를 확인하였습니다.
이후 근관 충전을 진행하여
재신경치료를 마무리하였습니다.

26.01.22
<치은부종 감소>
신경치료를 진행하면서
염증으로 인해 생겨났던
뾰루지가 점점 사라지면서
치은부종이 감소한 것을
확인할 수 있었습니다.

26.01.22 / 26.02.02
<실활치 미백 진행>
이후 변색된 치아의 색상을 개선하기 위해
실활치 미백을 진행했는데요.
실활치 미백이란 신경치료를 받은 뒤
내부 조직의 변화로 인해
어둡게 변색된 치아를 개선하기 위한 치료 방법으로,
치아 바깥에서 진행하는 일반 미백과 달리
치아 내부에 미백제를 적용해
색상을 점진적으로 밝히는 치료입니다.
특히 앞니처럼 눈에 잘 띄는 부위에서
자연스러운 색조 회복을 기대할 수 있어
심미적인 만족도가 높은 치료 방법 중 하나입니다.
이렇게 실활치 미백 진행 후
까맣던 치아가 점차 주변 자연치와 조화를 이루는
밝은 색으로 개선되는 모습을
확인할 수 있었습니다.

26.02.09
<크라운 진행>
이렇게 실활치 미백까지 마무리 하고
레진을 통해 치아를 쌓은 뒤,
인상채득 후 크라운을 제작하였습니다.
앞니이기 때문에 기능적인 회복뿐 아니라
색상과 투명도, 주변 치아와의 조화까지
함께 고려하는 것이 중요했는데요.
자연치와 최대한 유사한 형태와
색감을 재현할 수 있도록
세심하게 제작 과정을 진행하였으며,
최종 장착 후에는 심미성과 안정성을
모두 만족할 수 있는 결과를 확인할 수 있었습니다.
환자분께서는 마무리 후
검은 치아가 항상 눈에 거슬렸는데
치아를 뽑지도 않고 부기도 해결되고
색상도 밝아져서 매우 만족해 주셨습니다. (^^)

곡반정동치과 연세세브란스치과수원은
치과보존과전문의 상주로
자연치아를 살리는 것에 중점을 두어
불필요한 발치보다는 보존적 치료를
우선적으로 고려하고 있습니다.
언제나 환자를 먼저 생각하며
필요한 진료만을 진단하고
양심적인 진료를 선사하고 있습니다.
또한 철저한 감염 관리를 통해
위생적이고 안정적인 진료 환경을 유지하고 있으며,
정밀한 진단 장비와 체계적인 치료 시스템을 바탕으로
내원하시는 분들께 보다 신뢰할 수 있는
진료를 제공해드리고 있습니다.
앞으로도 기능적인 회복뿐 아니라
심미적인 만족까지 함께 고려한
맞춤 진료를 위해 노력하겠습니다 🙂
감사합니다😊
*모든 증례 사진은 의료법 제23조, 제 56조에 의거하여,
당사자의 동의하에 게시하였습니다.
*치료 사진은 모두 본원에서 치료한 환자분의 사진입니다.
*치료 사진은 모두 동일인의 사진이며,
동일조건에서 촬영하였습니다.
*개인의 차이에 따라 시술 및 수술 후 부작용이 발생할 수 있으며,
의료진과 충분한 상담을 받으시기 바랍니다.