곡반정동치과 당뇨가 있어서 임플란트 식립이 어렵다고 들었어요

곡반정동치과

 

당뇨병은 전신 건강에 영향을 주는
만성 질환으로,
구강 건강에도 다양한 변화를
일으킬 수 있습니다.

 

특히 당뇨를 앓고 계신 경우
뼈의 재생 능력과 회복 속도가 떨어질 수 있어,
치아를 상실한 이후 잇몸뼈가
빠르게 줄어드는 경우가 많습니다.

 

이로 인해 임플란트 치료를 계획할 때
일반적인 경우보다 더욱 세심한 진단과
치료 계획이 필요합니다.

 

윗어금니 부위는 코 옆에 위치한
상악동이라는 공간과 가까워,
원래부터 잇몸뼈의 양이
충분하지 않은 경우가 많습니다.

 

여기에 당뇨로 인한
뼈 소실이 함께 나타나면
임플란트를 바로 심기 어려운
상황이 될 수 있습니다.

 

이러한 경우 부족한 뼈를 보강하기 위해
상악동거상술을 함께 시행하는
치료가 필요할 수 있습니다.

 

오늘은 곡반정동치과
연세세브란스치과수원에서
당뇨 환자의 임플란트 식립을
진행한 사례를
소개해 드리도록 하겠습니다.

 

곡반정동치과 곡반정동치과 곡반정동치과

곡반정동치과 곡반정동치과

 

25.01.11

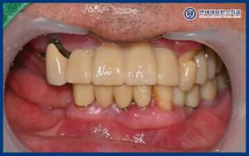
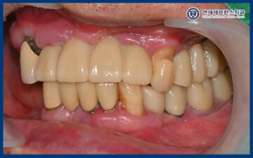
위 환자분께서는 한 달 전 오른쪽 아래
아들이 자연적으로 빠져버릴 정도로
당뇨가 심하셨습니다.

 

임플란트를 하고 싶었으나
타 치과에서 뼈가 너무 없고
당뇨가 있어 식립이 어렵다는 이야기를 듣고
본원에 내원해 주셨습니다.

 

곡반정동치과

 

25.01.11

파노라마 사진을 촬영하여
확인해 본 결과,
오른쪽 치아는 대부분
이미 발치된 상태였으며
남아 있던 송곳니 역시 치근 우식과
심한 동요도가 관찰되었습니다.

 

또한 송곳니 옆 치아는
뿌리만 남아 있는것으로
확인되었습니다.

 

이러한 치아들은 보존하여 사용하기에는
예후가 좋지 않다고 판단되어,
곡반정동치과 연세세브란스치과수원에서는
발치를 진행한 뒤 뼈이식을 동반한
임플란트 식립을 계획하였습니다.

 

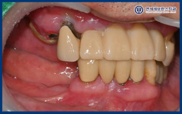
아울러 위쪽 큰 어금니 부위는
잇몸뼈의 두께가 얇아 임플란트를
바로 식립하기 어려운 상태였기 때문에,
상악동거상술을 시행하여
충분한 뼈이식을 진행한 후
임플란트를 식립하기로 하였습니다.

 

또한 아래쪽에서 자연적으로
치아가 빠진 부위의 경우,
약 한 달 정도 자연 치유 기간을 가진 뒤
뼈이식을 동반하여 임플란트를
식립하는 치료 계획을 수립하였습니다.

 

곡반정동치과 곡반정동치과 곡반정동치과

 

25.01.11 / 25.02.08

먼저 위쪽부터 남아있는 치아를 발치 후
임플란트 식립을 진행하였습니다.

 

오른쪽 위 첫 번째 큰 어금니 부위는
앞서 말씀드린 것처럼
잇몸뼈의 양이 충분하지 않은 상태였기 때문에,
상악동 측방 거상술을 통해
부족한 뼈를 보강한 후
임플란트를 식립하였습니다.

 

상악동거상술을 통해
임플란트가 안정적으로
자리 잡을 수 있는 충분한 공간을 확보하고,
장기적인 예후를 고려한
치료를 진행하였습니다.

 

곡반정동치과 곡반정동치과 곡반정동치과

 

25.03.08

이와 같이 임플란트를 식립한 후에는
첫 한 달 동안의 초기 고정이
매우 중요하기 때문에,
환자분께서는 재내원하시어
염증이 발생하지는 않았는지,
임플란트 주위에 특별한 문제는 없는지에 대해
정기적인 확인을 진행하였습니다.

 

이를 통해 임플란트가 잇몸뼈에
안정적으로 자리 잡고 있는지를
면밀히 관찰하였습니다.

 

곡반정동치과 곡반정동치과 곡반정동치과

 

25.03.22

이후 아래쪽 부위에 대해서도
임플란트 식립을 진행하였습니다.

 

환자분께서는 당뇨로 인해
잇몸뼈가 상당히 소실된 상태였기 때문에,
임플란트 모의 식립을 통해
사전에 충분한 시뮬레이션을 진행한 후
가장 안정적인 위치를 선정하여
임플란트를 식립하였습니다.

 

이를 통해 잔존 뼈의 상태를 고려한
안정적이고 정밀한 치료가
이루어질 수 있도록 하였습니다.

 

곡반정동치과 곡반정동치과

 

25.05.03

이후 한달 뒤 내원하여
확인해보았습니다.

 

당뇨를 앓고 계신 만큼
치료 후 회복 과정에 대한 걱정이 있었지만,
환자분께서 주의사항을 잘 지켜주신 덕분에
특별한 염증이나 이상 소견 없이
안정적인 치유 과정을 보이고 있음을
확인할 수 있었습니다.

 

곡반정동치과 곡반정동치과

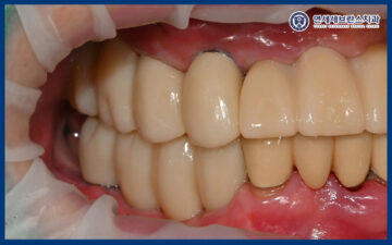
25.06.21 / 25.07.19

이렇게 임플란트의 치유기간을 거쳐
잇몸뼈와 잘 결합되어
최종 보철 작업을 시작하였습니다.

 

먼저 정밀한 보철물 제작을 위해
인상 채득을 진행하였으며,
이를 바탕으로 맞춤형 지대주를
제작하였습니다.

 

곡반정동치과 곡반정동치과 곡반정동치과

곡반정동치과 곡반정동치과

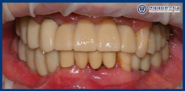
25.07.19

그리고 맞춤형 지대주에 맞는
최종 보철을 제작하여
맞춰보았습니다.

 

보철물의 형태와 색상,
교합 상태를 꼼꼼하게 확인한 뒤
불편한 부분은 없는지 점검하며
세밀한 조정을 시행하였습니다.

 

치료는 이렇게 마무리되었지만,
임플란트 역시 자연치아와 마찬가지로
꾸준한 관리가 이루어지지 않을 경우
염증이 발생할 수 있기 때문에
이후 관리가 매우 중요합니다.

 

이에 따라
곡반정동치과 연세세브란스치과수원은
환자분께 임플란트 주위 염증을
예방하기 위한 올바른 구강 위생 관리 방법과
정기 검진의 중요성에 대해
충분히 안내해 드렸습니다.

 

곡반정동치과 곡반정동치과

곡반정동치과 곡반정동치과

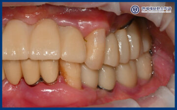
25.10.23

이렇게 치료를 마무리한 후,
약 3개월 뒤 환자분께서 내원하시어
정기 검진을 진행하였습니다.

 

검진 결과 임플란트와 주변 잇몸 상태
모두 특별한 이상 없이
안정적으로 유지되고 있었으며,
일상생활에서도 불편함 없이
잘 사용하고 계신 것을
확인할 수 있었습니다.

 

또한 안내해 드린 임플란트 관리 방법도
꾸준히 잘 실천해 주고 계셔서,
임플란트 주위 잇몸 역시
건강한 상태를 유지하고 있었습니다.

 

환자분께서는 오른쪽으로 씹는 걸 포기하고 살았는데
임플란트 이후 마음대로 먹을 수 있게 되어
너무 만족하게 되셨다고 하셨습니다.

 

이처럼 당뇨와 같이
전신 질환을 가지고 계신 경우에도,
정밀한 진단과 체계적인 치료 계획,
그리고 치료 후 꾸준한 관리가 함께 이루어진다면
안정적인 임플란트 치료 결과를 기대할 수 있습니다.

 

곡반정동치과

 

치아가 자연적으로 빠질 정도로
잇몸 상태가 좋지 않고
당뇨가 있다 하더라도 숙련된 본원의 전문의가
철저한 계획 하에 식립하면
별 문제 없이 임플란트를
마무리 할 수 있습니다.

 

곡반정동치과 연세세브란스치과수원은
구강악안면외과 전문의가
환자분의 전신 상태와 구강 환경을
종합적으로 고려한
맞춤형 임플란트 치료를 진행하고 있습니다.

 

이를 통해 보다 안정적인 치료 결과를
제공해 드리고자 노력하고 있습니다.

 

위 사례와 같이 당뇨로 인해
임플란트를 고민하고 계신다면
연세세브란스치과수원에서
섬세한 상담을 받아보시길 바랍니다.

 

감사합니다😊

 

*모든 증례 사진은 의료법 제23조, 제 56조에 의거하여,
당사자의 동의하에 게시하였습니다.
*치료 사진은 모두 본원에서 치료한 환자분의 사진입니다.
*치료 사진은 모두 동일인의 사진이며,
동일조건에서 촬영하였습니다.
*개인의 차이에 따라 시술 및 수술 후 부작용이 발생할 수 있으며,
의료진과 충분한 상담을 받으시기 바랍니다.

 

 







문의 전화

031-222-2804

네이버 예약

네이버 예약