곡반정동치과 잇몸뼈가 너무 없어서 임플란트 못 심을 수도 있다고 들었어요

치아에 염증이 생기면
단순히 한 치아의 문제로 끝나지 않고,
통증과 불편함이 점점 커지면서
일상생활 전반에 영향을 미치게 됩니다.
처음에는 씹을 때의 불편감이나
시린 느낌으로 시작되지만,
염증이 심해질수록 가벼운 접촉만으로도
통증이 느껴지고 잇몸에서 염증 반응이
쉽게 나타나는 상태로 진행되기도 합니다.
이러한 만성 염증은
치아 주변 조직을 약화시키고,
결국 치아를 지탱하는
잇몸뼈의 손상으로 이어질 수 있습니다.
특히 위쪽 어금니 부위는
해부학적으로 상악동과 가까워,
잇몸뼈가 충분하지 않은 경우
치료 과정이 더욱 까다로워집니다.
이때 단순히 아픈 치아를 제거하는 것만으로는
근본적인 해결이 어려우며,
염증을 안정시키고 치아 기능을
회복하기 위한
종합적인 치료 계획이 필요합니다.
오늘은 곡반정동치과
연세세브란스치과수원에서
발치 후 상악동거상술, 뼈이식,
임플란트 식립을 진행한 사례를
소개해 드리도록 하겠습니다.


25.06.10
위 환자분께서는 오른쪽 위,아래 치아가
불편해서 발치를 해야 하는데
타 치과에서 잇몸뼈가 너무 없어
임플란트를 못 심을 수도 있다고
들으셨다고 하셨습니다.
또한 임플란트를 심더라도
뼈이식을 많이 하면서
통증이 심할까 걱정돼서
곡반정동치과 연세세브란스치과수원에
내원해 주셨습니다.

25.06.10
파노라마 사진을 촬영해 보니,
오른쪽 위 치아 2개와 아래 맨 뒤 치아의
잇몸뼈 소실로 치주염이 진행된 것을
확인할 수 있었습니다.

25.06.10
또한 염증이 매우 심해
가볍게 건드리기만 해도
즉각적으로 강한 통증이 나타났고,
염증성 분비물이 바로 확인될 정도로
상태가 좋지 않았습니다.
위쪽 맨 뒤 치아의 경우
동요도가 3도로 매우 심했으며,
잇몸뼈 소실이 크게 진행된 상태라
통증이 지속되고 있었습니다.
이러한 조건에서 해당 부위에
바로 임플란트를 식립할 경우,
시술 후 불편감이나 실패 가능성이
높을 것으로 판단되었습니다.
이에 곡반정동치과 연세세브란스치과수원에서는
잇몸 염증으로 인해 흔들림이 심했던
작은 어금니를 발치와 임플란트,
발치 후 시간이 지나 뼈 상태가
비교적 안정화되어 있는 맨 뒤 부위에
상악동거상술을 시행한 뒤 임플란트 브릿지를
진행하는 치료 계획을 수립하였습니다.
또한 아래쪽 치아는
발치 후 즉시 임플란트를 진행하기보다는,
뼈이식을 먼저 시행하여 기초를 충분히 다진 뒤
지연 식립하는 방향으로
치료를 계획하였습니다.

25.06.18
먼저 위쪽 치아들을 발치한 뒤,
상악동 측방 거상술을 통해
상악동 공간을 확보하고
부족한 뼈를 보강하였습니다.
이후 임플란트가 안정적으로
고정될 수 있는 환경을 조성한 다음,
계획에 따라 임플란트를 식립하였습니다.

25.06.18
CT로 비교해 보았을 때,
상악동거상술을 통해
부족했던 상악동 하방 공간을 확보하여
임플란트 식립이 가능한 환경을
조성한 것을 확인할 수 있었습니다.

25.07.16
임플란트는 식립 후 약 한 달 동안의
초기 고정이 매우 중요한 만큼,
한 달 뒤 내원하여 치유 과정이
안정적으로 진행되고 있는지
확인하였습니다.
내원 시 염증 소견 없이
주변 조직이 잘 회복되고 있었으며,
임플란트 역시 흔들림 없이
양호한 상태를 유지하고 있음을
확인할 수 있었습니다.

25.06.18 / 25.09.18
그리고 오른쪽 아래는
발치 후 뼈이식만 먼저 진행하여
충분한 치유와 안정화를 도모하였습니다.
이후 이식한 뼈가 잘 결합되어
임플란트 식립을 진행하였습니다.

25.09.18
이렇게 계획된 임플란트 식립은
전부 진행을 하였습니다.

25.10.24
그리고 아래 임플란트도
한 달 뒤 내원하셔서
확인해 보았습니다.
환자분께서 주의사항도 잘 지켜주시고
관리를 잘해주셔서
해당 부위도 이상 없이
치유가 잘 되고 있었습니다.

25.07.16 / 25.10.24
이렇게 전체적으로 치유기간을 기다린 뒤
위쪽 부위는 2차 수술을 진행하여
잇몸 안에 매식되어 있던
임플란트 나사를 잇몸 밖으로
노출시켰습니다.
이를 통해 이후 보철 치료를 위한
준비 단계를 진행할 수 있는
상태로 전환하였습니다.

25.11.06
이후 정밀한 보철 제작을 위한
구강 스캔 작업을 진행하기 위해,
기존 나사를 스캔용 부품으로
교체하였습니다.
이를 통해 보다 정밀한 보철
계획이 가능하도록 준비하였습니다.

25.11.06
그리고 구강 스캐너를 통해
환자분의 치아와 잇몸 상태를 정밀하게 채득하여,
임플란트 위치와 교합을 고려한
보철물 제작을 진행하였습니다.


25.11.18
이렇게 제작된 맞춤형 지대주와
임플란트 브릿지 보철을
맞춰보았습니다.
주변 치아와의 색상 조화와 형태,
교합 상태를 꼼꼼하게
확인하였습니다.
이를 통해 기능적인 안정성은 물론
심미적인 부분까지 함께 고려한
최종 보철 조정을 진행하였습니다.

25.12.30
또한 아래쪽도 임플란트가
잇몸뼈에 잘 결합되어
보철 작업을 시작하였습니다.
맞춤형 지대주와 최종 보철물을 제작하여
기능과 교합 등을 모두 확인 후
괜찮으시다고 하셔서
영구접착 해드렸습니다.


25.12.30
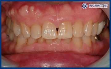
주변 치아와의 자연스러운
색감과 형태를 고려해
조화롭게 완성되었으며,
씹는 기능과 교합 또한 안정적으로 회복되어
일상생활에서 불편함 없이
사용하실 수 있는 상태가 되었습니다.

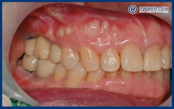
25.06.10 / 25.12.30
이렇게 전체적인
치료가 마무리 되었습니다.
환자분께서는 뼈이식을 많이 하면
많이 붓고 통증도 심할거라 들어서 걱정했는데
본원에서 임플란트 식립 후 통증도 별로 없고
불편감도 적어서 다행이라며 만족해 주셨습니다.
써보다가 왼쪽도 불편한 부위가 있어
임플란트 진행하기로 하셨답니다.
이처럼 환자분의 상태와 불편감을 세심하게 고려한
맞춤 치료 계획을 통해,
부담은 줄이고 만족도는 높이는
임플란트 치료가 가능할 수 있습니다.

뼈이식을 많이 한다고 해서
반드시 통증이 심하고
불편함이 큰 것은 아닙니다.
곡반정동치과 연세세브란스치과수원에서는
풍부한 임플란트 임상 경험을 갖춘
전문의가 환자분의 뼈 상태를 정밀히 분석한 뒤,
통증 부담을 줄일 수 있는 위치를 선택해
치료를 진행합니다.
그에 따라 복잡해 보일 수 있는
뼈이식술도 보다 안정적이고
수월하게 마무리하며
임플란트 식립까지
이어갈 수 있습니다.
또한 환자분들께 꼭 필요한 진료만을 진단하고
양심적인 진료를 선사하도록 노력하고 있습니다.
위 사례와 같이 염증으로 인해
발치와 임플란트가 필요한 상황이라면
전문의가 상주하는 연세세브란스치과수원에서
정밀한 진단을 받아보시길 바랍니다.
감사합니다😊
*모든 증례 사진은 의료법 제23조, 제 56조에 의거하여,
당사자의 동의하에 게시하였습니다.
*치료 사진은 모두 본원에서 치료한 환자분의 사진입니다.
*치료 사진은 모두 동일인의 사진이며,
동일조건에서 촬영하였습니다.
*개인의 차이에 따라 시술 및 수술 후 부작용이 발생할 수 있으며,
의료진과 충분한 상담을 받으시기 바랍니다.