권선구임플란트 넘어져서 앞니가 빠지고 흔들려요

일상생활이나 운동 중 넘어지는 사고는
누구에게나 발생할 수 있으며,
이로 인해 치아가 손상되는 경우도
적지 않습니다.
특히 앞니는 외부 충격을
가장 먼저 받는 부위로,
강한 힘이 가해질 경우 치아가 부러지거나
치조골에서 밀려나오는 치아 정출과 같은
외상으로 이어질 수 있습니다.
이러한 외상은 심미적인 문제뿐 아니라
저작 기능, 발음, 심리적 위축까지
동반할 수 있어 조기 진단과
적절한 치료가 매우 중요합니다.
최근에는 외상 후 치아의 상태와
주변 조직 손상 정도에 따라
스프린트를 이용한 고정 치료나,
치아 보존이 어려운 경우 임플란트를 통한
기능 회복 등 다양한 치료 방법이 적용되고 있습니다.
오늘은 앞니 외상으로 인해
권선구임플란트와 스프린트를 통해
회복한 사례를 소개해 드리도록 하겠습니다.

25.08.01
위 환자분께서는
내원 하루 전 넘어져서 앞니가 빠지고
흔들린다며 내원해 주셨습니다.
치아를 가능한 한 보존하는 치료를 원해
치과 보존과를 찾아오셨다고 해주셨습니다.
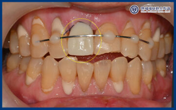
육안으로 확인 시 앞니가 부러져서
뿌리만 남아있던 상황이었습니다.

25.08.01
그리고 부러진 치아의 옆 치아는
많이 흔들리는 상황이고,
환자분께서 아래로
내려온 것 같다고 하셨습니다.

25.08.01
또한 CT를 촬영하여 확인해 보니,
왼쪽 위 치아는 치조골 골절을
관찰할 수 있었습니다.
전체적으로 상황을 확인한 후
연세세브란스치과수원에서는
치아가 부러진 부위는 남아있는 뿌리 발치 후
권선구임플란트를 식립하고
당일 바로 스캔을 하여
임시치아를 제작하기로 하였습니다.
또한 치아가 정출된 부위는
재위치 후, 앞니 6개 스프린트를 부착하여
4주간 고정하여 치료를
진행하기로 하였습니다.

25.08.01
발치 후 식립 전 CT를 통해
식립할 위치를 확인하고
그에 맞춰 식립을 진행하였습니다.

25.08.01
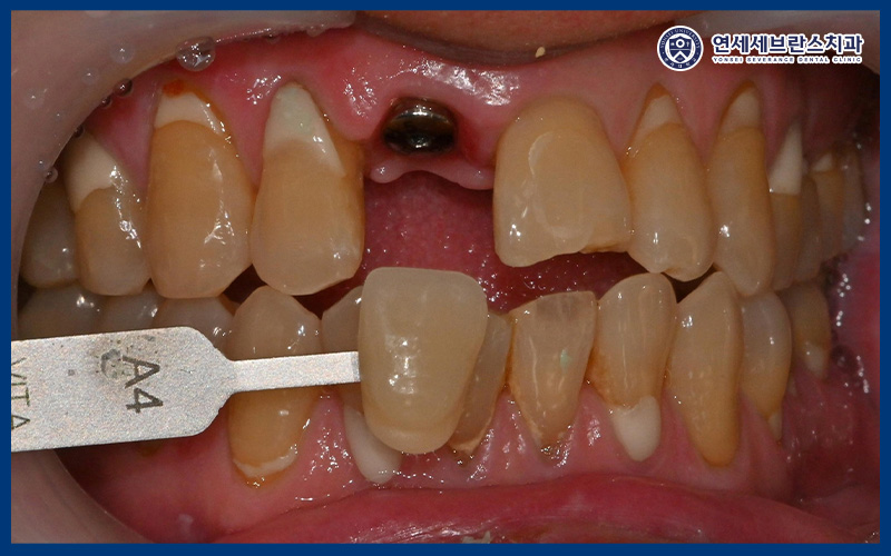
그리고 지대주와 임시치아를
구강스캐너를 통해 채득하였습니다.

25.08.02
그리고 정출된 앞니를 재위치 시킨 후
스프린트를 이용해 고정까지 진행 후
마무리하였습니다.

25.08.07
구강 스캐너를 통해 제작된
지대주와 임시치아를 임플란트에
결합한 뒤 접착하였습니다.
이를 통해 치료 초기 단계에서도
일상생활에 불편함이 없도록
기능적·심미적인 회복을 도모하였습니다.

25.08.11
이렇게 임시치아까지 진행된 후
4일 뒤 내원하셔서
수술한 곳 입천장쪽이 부은 것 같으시다며
내원해 주셨습니다.
감염으로 인해 부었다기보단
단순히 붓기만 한 점으로 보아
임시치아 접착제 등으로 인한
부기로 판단하였습니다.
이에 따라 부위에 남아 있을 수 있는
자극 물질을 부드럽게 정리하고,
소독 및 약제를 이용한
처치를 시행하였습니다.

25.09.02
이후 약 한 달 뒤 다시 내원하셔서
경과를 확인한 결과,
이전에 관찰되던 부기는 모두 가라앉았으며
수술 부위 또한 안정적으로
회복된 모습을 보였습니다.

25.09.02
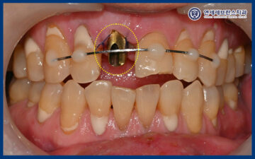
그리고 붙여뒀던
스프린트를 제거하면서
치아를 재평가해보았습니다.
이상이 있었던 치아들
모두 흔들림이 감소하여
당장 발치 진행보다
유지해서 쓰기로 하였습니다.

25.12.01
이후 외상 4달 후 확인해 보니,
특별한 이상없이 깨끗하게 치유가 되어
보철 제작을 위한 인상채득을
진행하였습니다.

25.12.01
앞니는 심미적으로 중요한 부위이기 때문에,
치아의 형태와 색상뿐만 아니라
잇몸 라인과 주변 치아와의 조화를 고려하여
보철물을 제작하였습니다.
이를 통해 자연스러운 외관을 유지하면서
기능적인 회복도 함께 이루어졌습니다.

25.12.10
이후 색상과 형태 모두 괜찮으시다 하셔서
영구 접착 후 마무리해드렸습니다.
환자분께서는 넘어져서 치아가 부러지고
앞니가 다 흔들리는 걸 알았을 때
세상이 무너지는 심정이었지만
좋은 치과를 잘 선택해서 당일 바로
치료를 잘 받게 되어 다행이라고 해주셨습니다.
향후 앞니 절대 쓰지 않고 조심하다
수명이 다 되면 그때 임플란트
진행하겠다고 다짐해 주셨습니다.
추후 외상치아들 포함하여
임플란트 정기검진을 시행하기로 하였으며
외상치아는 어떤 식으로 증상이 나타나는지
예측이 불가능하기 때문에 필요시 신경치료
혹은 발치+임플란트를 진행하기로 하였습니다.

권선구임플란트 수술 후 며칠 내로
임시치아를 붙이는 술식은
보기에는 좋아도 여러 가지
부작용이 있을 수 있습니다.
해당 사례에서 입천장이 부은것도
그 부작용 중 하나 입니다.
최악의 경우에는 임플란트가 떨어져
나올수도 있어서 아무 때나 막 쓰는 것 보다는
꼭 필요한 상황에서만 하는게 좋습니다.
연세세브란스치과수원에서는
대표원장님이 풍부한 임상 경험을 바탕으로,
외상 치아 치료 시 적절한 시기와
방법으로 치료를 진행하고 있습니다.
위 사례처럼 외상으로 인해
치아에 문제가 생겼다면
권선구임플란트하는 연세세브란스치과수원에서
섬세한 진단과 치료를 받아보시길 바랍니다.
감사합니다😊
*모든 증례 사진은 의료법 제23조, 제 56조에 의거하여,
당사자의 동의하에 게시하였습니다.
*치료 사진은 모두 본원에서 치료한 환자분의 사진입니다.
*치료 사진은 모두 동일인의 사진이며,
동일조건에서 촬영하였습니다.
*개인의 차이에 따라 시술 및 수술 후 부작용이 발생할 수 있으며,
의료진과 충분한 상담을 받으시기 바랍니다.
권선구임플란트 권선구임플란트