곡반정동임플란트 오른쪽 아래 치아가 불편한데 살릴 수 있을지 궁금해요

치아는 한번 손상되면
원래 상태로 되돌리기 어려운 만큼,
치료 후에도 지속적인 관리와
정기적인 검진이 필요합니다.
특히 신경치료 후 크라운으로 씌운 치아는
겉으로 보기엔 멀쩡해 보이더라도
내부에 세균 감염이 생기거나
치아를 지탱하는 치조골이
약해질 수 있습니다.
이런 경우 통증이나
불편감이 나타날 수 있으며,
단순히 크라운을 교체하는 것만으로는
문제를 해결하기 어려운 상황이
생기기도 합니다.
따라서 치과에서는 잇몸뼈 상태와
내부 감염 여부를 세심하게 확인하고,
치아를 보존할 수 있는지 아니면
임플란트 치료로 대체해야 하는지
판단하게 됩니다.
오늘은 연세세브란스치과수원에서
기존 크라운 치아 발치 후 곡반정동임플란트를
진행한 환자분의 사례를
소개해 드리도록 하겠습니다.


24.08.02
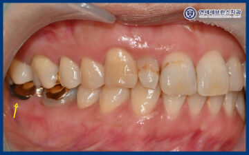
위 환자분께서는
오른쪽 아래 어금니가 불편한데
살려 쓸 수 있는지
궁금해서 본원에 내원해주셨습니다.
잇몸이 내려가면서
치아 뿌리가 드러나 있었고,
그 부위가 잘 관리되지 못해
내부에 충치가 발생한 것을
확인할 수 있었습니다.

24.08.02
정밀한 상태 확인을 위해
파노라마 촬영을 진행하였습니다.
그 결과, 치조골 소실로 인해
크라운 내부 상태가 좋지 않을 가능성이
높게 확인되었습니다.
환자분께서는 치아를 살려
사용해보기를 원하셔서,
기존 크라운을 제거한 뒤
다시 평가하기로 하였습니다.
다만 뿌리가 이미 파절되어 있을 가능성도 있어,
보존 치료를 하더라도
사용 기간이 길지 않을 수 있음을
안내드렸습니다.
이에 따라, 이러한 경우에는
임플란트 치료가 오히려 더 편리하고
장기간 안정적으로 사용할 수 있다는 점을
충분히 설명드렸으며,
내부 상태를 확인한 후 최종적으로
치료 방향을 결정하기로 하였습니다.

24.08.06
먼저 재신경치료를 위해
기존 크라운을 제거 한 후
내부를 확인해보았습니다.
예상대로 내부 오염이 심하며
전부 제거하니 잔존치질이
얼마 없는 상태로
환자분께 말씀드린 후 발치와
임플란트를 진행하기로 결정하였습니다.

24.08.14
먼저 발치를 진행하였으며
치조골 소실로 인해 뼈가 부족하여
뼈이식을 동반하여 곡반정동임플란트
식립을 하였습니다.

25.01.07
임플란트는 초기 고정력이
무엇보다 중요한 치료이기 때문에,
식립 후 한 달 뒤 내원하셨을 때
다시 촬영을 통해
상태를 확인하였습니다.
촬영 결과를 바탕으로
고정이 잘 이루어지고 있는지,
주변 치조골과 잇몸의 회복 상태를
세심하게 평가하였습니다.


25.01.07 / 25.03.10 / 25.03.20
이후 치유기간을 거쳐
보철 작업을 시작하였습니다.
먼저 맞춤형 지대주를 제작하였으며,
이를 통해 임플란트와 보철물이
안정적으로 결합될 수 있도록
준비하였습니다.

25.03.20
그리고 주변 치아와 조화를 이룰 수 있도록
색상과 형태를 세심하게 고려하여
보철물을 제작하였습니다.
이를 통해 자연치아와
크게 구분되지 않으면서
심미성과 기능을 동시에
회복할 수 있도록 하였습니다.

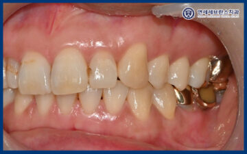
25.06.04 / 25.08.21
이후 환자분께서
정기검진을 위해 내원하셨을 때,
치료한 앞 치아의 인레이가
탈락된 상태임을 확인하였습니다.
해당 부위는 이전 치료 범위가 넓고
충치가 깊게 진행되어 있어,
보다 안정적인 수복을 위해
크라운 치료로 진행하였으며
최종적으로 보철물을 장착해 드렸습니다.
이로써 전체적인 치료 과정이
마무리되었습니다.
환자분께서는 시간이 걸리긴 했지만
불편했던 치아를 뽑고 임플란트를 하니
훨씬 씹기 좋다며 만족해 주셨으며,
좀 더 빨리 진행할걸 안타까워하셨습니다.
이처럼 연세세브란스치과수원은
단순히 눈앞의 증상만 보는 것이 아니라,
치아와 잇몸의 전반적인 건강 상태를
정밀하게 진단한 후 환자분께
가장 적합한 치료 방법을 제안드리고 있습니다.

치아를 살려 쓰는 것도 좋지만,
결국 긴 기간 동안 잘 쓰기 위한 목적이 있는 만큼
오래 못 쓸 것 같으면
빠르게 곡반정동임플란트로
넘어가는 방법이 나을 수 있습니다.
연세세브란스치과수원은
풍부한 임상 경험과 정밀 진단 장비를 바탕으로
개개인에게 맞춘 최적의 치료 계획을 제안드리며,
치료 후에도 정기적인 검진과 철저한 관리를 통해
환자분들이 오래도록 건강한 저작 기능과
미소를 유지하실 수 있도록 함께하고 있습니다.
치료받았던 치아에 불편함이 생겼다면
치과에 내원하셔서 나에게 맞는 치료를
찾아보시길 바랍니다.
감사합니다😊
*모든 증례 사진은 의료법 제23조, 제 56조에 의거하여,
당사자의 동의하에 게시하였습니다.
*치료 사진은 모두 본원에서 치료한 환자분의 사진입니다.
*치료 사진은 모두 동일인의 사진이며,
동일조건에서 촬영하였습니다.
*개인의 차이에 따라 시술 및 수술 후 부작용이 발생할 수 있으며,
의료진과 충분한 상담을 받으시기 바랍니다.