연세세브란스치과수원 오른쪽 아래 잇몸이 많이 붓고 통증이 심해요

치아 건강은 일상생활의 질을 좌우하는
중요한 요소 중 하나입니다.
하지만 초기에는
별다른 증상이 없던 치아 문제가
어느 순간 급격한 통증과 함께 나타나
일상에 큰 불편을 주기도 합니다.
특히 치아 뿌리 끝에 염증이 생기는 경우,
잇몸이 붓고 극심한 통증이 동반되며
단순한 불편을 넘어 즉각적인 치료가
필요한 상황으로 이어질 수 있습니다.
이러한 염증은 방치할 경우
주변 조직으로 확산되거나
치아를 보존하기 어려운 상태까지
진행될 수 있어,
정밀한 진단과 적절한 치료 계획이
무엇보다 중요합니다.
절개 및 배농과 같은 응급 처치를 통해
염증을 먼저 완화한 뒤,
상태에 따라 신경치료나 임플란트 등의
추가 치료가 이어지는 경우도 많습니다.
오늘은 연세세브란스치과수원에서
극심한 통증으로 인해 응급처치 후
임플란트와 전체적인 치료를 진행한
사례를 소개해 드리도록 하겠습니다.


24.08.05
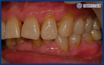
위 환자분께서는
예전부터 왼쪽 아래가 충치 때문에 아프더니
3일 전부터 오른쪽 아래 잇몸이 많이 붓고
통증이 극심해서 참기 어려워
급하게 본원에 내원해 주셨습니다.
예전에 갔던 타 치과에서는
치아 뿌리 끝 염증이 너무 심해서
큰 문제가 생길 수도 있고,
어금니는 다 뽑고 임플란트를 해야 한다고
들으셨다 하셨습니다.

24.08.05
확인해 보니,
오른쪽 아래 통증을 느끼는 부위의
뿌리 끝 염증이 진행되어 있었는데요.
이로 인해 잇몸이 붓고
심한 압통이 동반되었으며,
일상적인 식사나 저작 시에도
큰 불편을 겪고 계셨는데요.
이러한 상태는 염증이
내부에 고여 있는 경우가 많아
자연적으로 호전되기 어렵고,
적절한 처치를 통해 염증을 배출하고
원인을 제거하는 과정이 필요합니다.
또한 다른 부위들도 치아가 부러지거나
충치가 생겨 치료가 필요한 부위가 많았습니다.

24.08.05
어금니가 대부분 소실된 상태로,
식사를 위한 저작 기능 회복을 위해서는
임플란트 치료가 필요한 상황이었습니다.
하지만 무엇보다 우선되어야 할 것은
환자분께서 호소하신 극심한 통증을
빠르게 완화시키는 것이었는데요.
CT를 촬영하여 확인해 보았을 때,
뿌리 끝 염증이 이미 신경까지 퍼져있었으며
조금만 더 늦었으면 치아 염증이
아래턱, 얼굴 감각까지 영향을 미칠 수 있는 상황이었으며
당장 임플란트 보다는 염증 제거 및
발치 후 치유 양상 확인이 필요했습니다.
이에 따라 연세세브란스치과수원에서는
우선적으로 오른쪽 아래 잇몸을 절개하여
내부에 고여 있던 염증을 배농하는 처치를 시행한 뒤,
염증 반응을 안정시키기 위해
항생제와 진통제를 병행하여 복용하기로 하였습니다.

24.08.05
먼저 절개 및 배농을 통해
통증의 원인이 되었던 염증을 제거하고
이후 경과를 면밀히 확인해 보았습니다.
하루 뒤 재내원 시에는
초기에는 통증이 있었지만
현재는 한결 편안해지셨다고 하셨으며,
눈에 띄게 부기도 많이 가라앉은 상태였습니다.
이후 일주일 뒤에는
뿌리만 남아 보존이 어려운 치아를 포함하여
문제가 되었던 부위의 발치를 진행하였고,
상악 부위는 발치와 동시에
향후 임플란트 식립을 고려한 뼈이식을 함께 시행하여
보다 안정적인 치료 기반을 마련하였습니다.

24.09.19
이후 환자분께서 시간을 많이 빼기 힘든 상황으로
일단 통증 발생의 가능성이 있는
왼쪽 위 큰 어금니 신경치료 및 잇몸치료
먼저 진행하기로 하였습니다.
보철 치료의 경우에는
추후 임플란트 식립 시기와 맞추어
전체적인 교합과 기능을 고려해 함께 진행하기로
치료 계획을 수립하였는데요.
이처럼 신경치료를 통해
감염된 신경 조직을 제거하고
치아를 보존할 수 있는 기반을 마련하였습니다.
또한 잇몸치료를 통해
치아 주변에 쌓여 있던 치석과 염증을 제거하고,
잇몸 조직을 건강한 상태로
회복시키는 과정을 함께 진행하였습니다.



24.11.18
이렇게 잇몸치료가 전체적으로 마무리된 이후에는
본격적인 임플란트 식립을 진행하였습니다.
왼쪽 아래 치아의 경우 발치와 동시에
즉시 임플란트 식립을 시행하였으며,
전반적으로 치조골이 부족한 상태였기 때문에
임플란트의 초기 고정력과
장기적인 안정성을 확보하기 위해
뼈이식을 동반하여 식립을 진행하였습니다.
이를 통해 임플란트가
보다 단단하게 자리 잡을 수 있는
기반을 형성하고, 이후 보철 단계까지
안정적으로 이어질 수 있도록
치료를 계획하였습니다.

24.12.02 / 24.12.18
수술 마무리 후에는 실밥 제거를 진행하고,
한 달 뒤 내원하시어
염증이 재발하지 않았는지,
특별한 문제는 없는지 꼼꼼히 확인해 드렸습니다.
특히 치료 전 염증이 심했던 만큼
재발 가능성을 낮추는 것이 중요했기 때문에,
올바른 양치 방법과 보조 구강위생용품 사용 등
일상에서 실천할 수 있는 관리 방법도 함께 안내해 드리며
지속적인 구강 관리가 이루어질 수 있도록 도왔습니다.

25.02.20
이렇게 약 3개월간의 치유 기간을 거친 뒤,
왼쪽부터 순차적으로
최종 보철 치료를 시작하였습니다.
신경치료 후 마무리해 두었던 위 치아와
임플란트 식립 부위를 함께 고려하여
전체적인 교합과 균형을 맞추기 위한
인상채득을 진행하였습니다.

25.03.06
이후 제작된 보철물을 구강 내에 맞춰보며
보철의 색상과 형태, 주변 치아와의 조화,
그리고 교합 상태까지 꼼꼼하게 확인하였습니다.
이러한 과정을 통해 기능적·심미적으로
모두 적합한 상태임을 확인한 뒤,
영구 접착을 진행하여 안정적으로
사용할 수 있도록 마무리하였습니다.

25.03.18
왼쪽 마무리 후,
오른쪽도 최종 보철 작업을
시작하였습니다.


25.05.02
오른쪽 부위 역시 최종 보철물이 제작된 이후,
맞춤형 지대주를 적용하여
임플란트와 보철물이 보다 정밀하게
연결될 수 있도록 하였습니다.
이후 보철을 장착하여
교합과 높이를 확인한 뒤,
최종적으로 영구 접착하여
안정적으로 마무리하였습니다.


26.02.06
이렇게 전체적인 치료가 마무리된 이후,
약 1년 뒤 정기검진을 위해 내원하셨습니다.
검진 결과 치료 받은 임플란트와 치아 모두
안정적으로 유지되고 있었으며,
잇몸 상태 또한 염증 없이
건강하게 관리되고 있는 것을
확인할 수 있었는데요.

26.02.06
파노라마 상에서도
임플란트 주변과 기존 치료 부위 모두
염증 소견 없이 깨끗하게 유지되고,
치조골 역시 안정적으로 유지되고 있었습니다.
초기 염증이 심했던 만큼
꾸준한 관리가 중요했던 사례였지만,
안내드린 관리 방법을 잘 실천해 주신 덕분에
재발 없이 양호한 상태를 유지하고 계셨습니다.
환자분께서는 일단 통증이
씻은듯이 없어져서 좋아하시고
계획대로 진행된 것에 대해
만족해 주셨습니다.
왼쪽 위는 임플란트 없이
자연치아를 쓸 수 있어 다행이라 하셨으며
정기검진 시 발견한 충치에 대해서도
추가 치료를 진행하기로 하셨답니다.
이처럼 단순히 통증을 완화하는 것에 그치지 않고,
신경치료, 임플란트, 잇몸치료 등
개개인의 구강 상태에 맞춘 단계적인 치료 계획을 통해
전반적인 구강 건강을 회복하는 것이 중요합니다.

연세세브란스치과수원은
3명의 전문의가 협진 시스템을 통해
각 분야별 전문성을 바탕으로
체계적인 진료를 제공하고 있습니다.
임플란트, 신경치료, 잇몸치료 등
복합적인 치료가 필요한 경우에도
분야별 의료진이 함께 치료 계획을 수립하여
보다 정확하고 안정적인 결과를
기대할 수 있도록 도와드리고 있습니다.
앞으로도 환자분 한 분 한 분의 상태에 맞춘
맞춤형 진료와 꼼꼼한 관리로
건강한 구강 상태를 오래 유지하실 수 있도록
최선을 다하겠습니다.
위 사례와 같이
치아 뿌리 끝 염증으로 인한
급성 통증이 진행되기 전
연세세브란스치과수원에서
정밀 진단을 받아보시고
적절한 시기에 필요한 치료를
진행하시길 바랍니다.
감사합니다😊
*모든 증례 사진은 의료법 제23조, 제 56조에 의거하여,
당사자의 동의하에 게시하였습니다.
*치료 사진은 모두 본원에서 치료한 환자분의 사진입니다.
*치료 사진은 모두 동일인의 사진이며,
동일조건에서 촬영하였습니다.
*개인의 차이에 따라 시술 및 수술 후 부작용이 발생할 수 있으며,
의료진과 충분한 상담을 받으시기 바랍니다.